Case Report
The Most Common Ten Diseases in the Dental Department
Mhd. Azhar Kharsa*
Senior Specialist Orthodontist, King Fahad Hospital-Madinah, Saudi Arabia
*Corresponding author: Senior Specialist Orthodontist, King Fahad Hospital-Madinah, Saudi Arabia, Tel: (+966) 557688385, E-mail: dr.orth@gmail.com
Received date: 03 Feb 2022;
Accepted date: 21 Feb 2022;
Published date: 28 Feb 2022
Abstract
In this article the author focuses of the most common ten diseases and anomalies that come across our daily practice in the Dental Department of AHT-SA Hospital. The author depended on the statistics, cases reports and active cases of his daily practice. The most registered anomaly “considered disease” in the Orthodontic Department has been the Malocclusion. It’s found out that 94% of the patient who visited the Orthodontic Clinic of A.H. Hospital have had a sort of “Mal-Occlusion” [1]. The other diseases that had been registered had been: the Dental Caries, Periodontitis, Cleft-Lip and Palate, Ectodermal Dysplasia, Dentigerous Cysts, Impacted Third Molars, Mouth breathing “and Snoring”, Diabetes and its dental aftermaths and Finally Achondroplasia.
Discussion
This study has used the files, the notes and all the registrations and statistics of the hospital [2]. Despite that the diseases differ in their advent according to the region, the ethnic considerations and the patients’ habits, however, the author tries in summarize the highest registered cases during the period of the latest 18 months within the Hospital.
The most numbered diseases in the Orthodontic Clinic have been:
Malocclusion
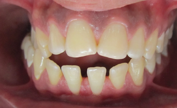
According to 1084 registered patients who visited the Orthodontic Clinic during the period of the study, it is found out that 1019 patients have shown a sort of Malocclusion, whose percentage is 94% of the whole patient’s number. The Malocclusion is any abnormality in the maxillofacial structures, either of the Skeletal or Dental Aspects.
The reasons of Malocclusion are complicated and mostly there is no specific reason for the Malocclusion (Proffit et al.), as the hereditary interacts with the acquired reasons to affect the malocclusion (Figure 1). The treatments of malocclusion depend according to the age, evaluation and its grade [3]. The potential malocclusion of the growing child may be treated by the Orthodontic Growth Modification Appliances, like functional and extra-oral appliances. The Skeletal Malocclusion cases can by treated by the orthognathic approaches that include the three steps procedures of a-Presurgical Orthodontic Phase. b-Surgery. c-Postsurgical Orthodontic Phase. However, the most part of the Orthodontic Cases are within the range of Dental and Camouflaging approaches [4].
Dental caries
The Dental Decay is the second common disease within the Orthodontic Clinic, as 976 of the patients who visited the Orthodontic Clinic “about 90%” showed dental caries at least once in their medical history. The reasons of Dental Caries include the bacterial and diet ones. The mean bacteria that contribute in the sequence of the dental caries may include the Lactic Bacilli and S.Mutans (Figure 2).
In addition to the diet that must include that high dose of Glucose and “Starch”. The dental caries treatments include the restoration process after the proper “cleaning” of the decayed tissues.
The periodontitis “periodontal lesions”
The Periodontal Lesions are common in the Orthodontic Clinics, as well. In the Statistics of A.H. Hospital of Tabuk it is found that 859 patients complained of a degree pertinent to the Periodontitis what forms 79.24% of the screened patients. The periodontal diseases “simultaneously to dental caries etiology” have bacterial and food accumulation reasons. The main bacteria that contribute to the Periodontitis are Streptococci and Staphylococci, however, the aforementioned bacteria need the appropriate environment for proliferation (Figure 3).
The bacterial clusters start to be irremovable after 8-12 hours of their formation, what’s called the Plaque. The more time passes of the bacterial colonies’ formation, the more difficult their removal be. The next phase is the calculus formation when the Calcium Hydroxide, food debris and blood transudation. The Calculus increases the virulence of the periodontitis and becomes a hub of sequential bacterial accumulation.
The treatment of the periodontitis starts by scaling, curettage and oral hygiene improvement for the long run prognosis. Failure of periodontal lesions treatments may cause very negative sequelae on the affected teeth prognosis.
Cleft-Lip and palate
Cleft lip and cleft palate are openings or splits in the upper lip, the roof of the mouth (palate) or both (Figure 4). Its rate ranging from 1/1000 to 2.69/1000 amongst different parts of the world (McLeod, Saeed, & Arana-Urioste, 2004).
However the patient who visited the orthodontics clinic with any pertinent features of Cleft lip and Palate had been 18 for the study time duration, with percentage of 1.66% of the total patients’ numbers.
Cleft lip and cleft palate result when facial structures that are developing in an unborn baby don’t close completely. Cleft lip and cleft palate are among the most common birth defects. They most commonly occur as isolated birth defects but are also associated with many inherited genetic conditions or syndrome [5]. The treatments are surgical and orthodontic approaches according to the patient’s age and chronicle phase (Figure 5).
Ectodermal dysplasia “anhidrotic ectodermal dysplasia”
Abnormal tooth development resulting in missing teeth or growth of teeth that are peg-shaped or pointed. Tooth enamel is also defective. The patient who visited with this aforementioned disease has been 9 during the time of this study, what forms 0.83% of the total patients. Dental treatment is necessary and children as young as two years may need dentures.
Dentigerous cysts
Dentigerous cyst, also known as follicular cyst is an epitheliallined developmental cyst formed by accumulation of fluid between the reduced enamel epithelium and crown of an unerupted tooth. It is formed when there is an alteration in the reduced enamel epithelium and encloses the crown of an unerupted tooth at the cemento-enamel junction.
The advent of this aforementioned disease has been 8 patients for the time of the study what forms 0.73 of the total patients’ numbers. The treatment is surgical.
Impacted third molars
Wisdom teeth are the third and last molars on each side of the upper and lower jaws. They are also the final teeth to erupt; they usually appear when a person is in their late teens or early twenties.
Impacted wisdom teeth don’t always cause symptoms. However, when an impacted wisdom tooth becomes infected, damages other teeth or causes other dental problems, you may experience some of these signs or symptoms: 1. Red or swollen gums 2. Tender or bleeding gums 3. Jaw pain 4. Swelling around the jaw 5. Bad breath 6. An unpleasant taste in your mouth 7. Difficulty opening your mouth.
The registered cases as “Impacted Third Molars” have been 176 cases what is about 16.24% of the total numbers of the patients whom this study registered. The treatment is most probably surgical, in other word, surgical extraction(s) of the involved tooth “teeth”.
Mouth breathing “and snoring”
Chronic mouth breathing may adversely affect craniofacial development in children and may result in anatomical changes that directly impact the stability and collapsibility of the upper airway during sleep. Mouth breathing during sleep also presents additional problems that may make snoring worse. When you are breathing via your mouth instead of your nose, it causes the airway at the back of the throat to become drier. This can make your snoring even louder. The registered cases as “Mouth breathing and Snoring” have been 98 cases what is about 9.04% of the total numbers of the patients whom this study registered. The treatment may be possible by a Removable Appliance Called De Luke Appliance.
Achondroplasia
It is considered as a form of skeletal dysplasia dwarfism that manifests with stunted stature and disproportionate limb shortening [6]. Development of achondroplasia is due to the mutation of FGFR3 gene, which disrupts the maturation of chondrocytes found in the growth plate [7].
Orthodontics and dentofacial orthopedics can cause speech and respiratory alterations and pathology.
The registered cases as “achondroplasia” in orthodontic clinic have been 3 cases what is about 0.27% of the total numbers of the patients whom this study registered (Figure 6).
Conclusion
The statistics show that the Orthodontist has to be prepared to get along with all kinds of anomalies and diseases [8].
The more the orthodontists are well prepared to deal with the Dental, Maxillofacial and Systemic Diseases, the better results they have [9]. We should keep in mind that we are all doctors, health care practitioners that we must do our best in diagnosis, treatments and avoiding the sideeffects.
References
- Al Yami EA, Kuijpers-Jagtman AM, van’t Hof MA (1998) Assessment of biological changes in a nonorthodontic sample using the PAR index. Am J Orthod Dentofacial Orthop 114: 224-228.
- Albino JE, Alley TR, Tedesco LA, Tobiasen JA, Kiyak HA, et al. (1990) Esthetic issues in behavioral dentistry. Annuals of Behavioral Medicine 12: 148-155.
- Albino JEN, Lawrence SD, Tedesco LA (1994) Psychological and social effects of orthodontic treatment. J Behav Med 17: 81-98.
- Alger DW (1988) Appointment frequency versus treatment time. Am J Orthod Dentofacial Orthop 94: 436-439.
- Angermann R, Berg R (1999) Evaluation of orthodontic treatment success in patients with pronounced Angle Class III. J Orofac Orthop 60: 246-258.
- Birkeland K, Bøe OE, Wisth PJ (2000) Relationship between occlusion and satisfaction with dental appearance in orthodontically treated and untreated groups. A longitudinal study. Eur J Orthod 22: 509-518.
- Cadman KC, Glover KE, Heo G, Warren S, Major PW (2002) Orthodontic treatment outcome in a First Nations population in Alberta, Canada: a comparative study. Am J Orthod Dentofacial Orthop 121: 396-402.
- Fischer-Brandies H, Orthuber W (2003) A whole new development from the Bending Art System. Orthod Fr 74: 499-510.
- Geron S (2004) Managing the orthodontic treatment of patients with advanced periodontal disease: the lingual appliance. World J Orthod 5: 324-331.
Figure 1: A Case of malocclusion, Class II D1 subdivision left side.
Figure 2: The dental Cary was the cause to destroy #16 as it looks as remaining roots.
Figure 3: Gingival Hyperplasia as a result of Periodontitis.
Figure 4: A Case of Cleft-Lip-Palate.
Figure 5:A Case of Bilateral Cleft Lip & Palate, before and after its Orthodontic Correction.
Figure 6:A Case of Achondroplasia.
